開咬(case 3)
前歯でものが噛めない(インビザライン)
当院での治療例紹介です。
前歯でものが噛めないとのことで矯正治療を行いました。
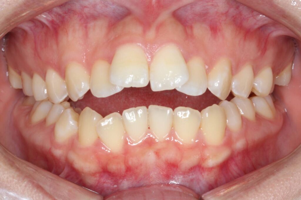
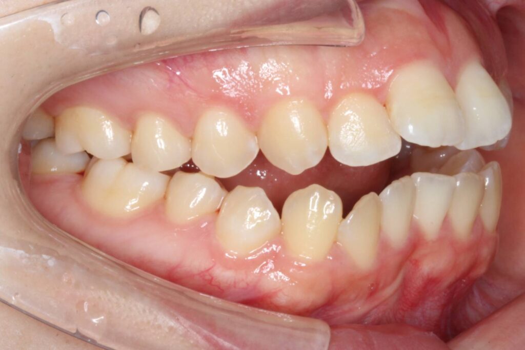
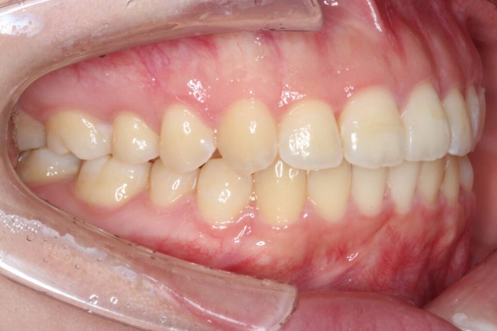
噛み合わせた際、上下顎の前歯が垂直的に被さらず空間ができている、「開咬」という歯並びの状態になっています。
開咬の状態では、食事がしづらいだけではなく、滑舌にも大きく影響するため矯正治療が推奨されます。
主な原因は、飲み込む際などに舌が歯に接触してしまう「異常嚥下癖」あるいは「舌突出癖」と呼ばれる舌の癖によるものです。
矯正治療と並行して「MFT」といって舌のトレーニングを行わないと、治療後に開咬が再発してしまいます。
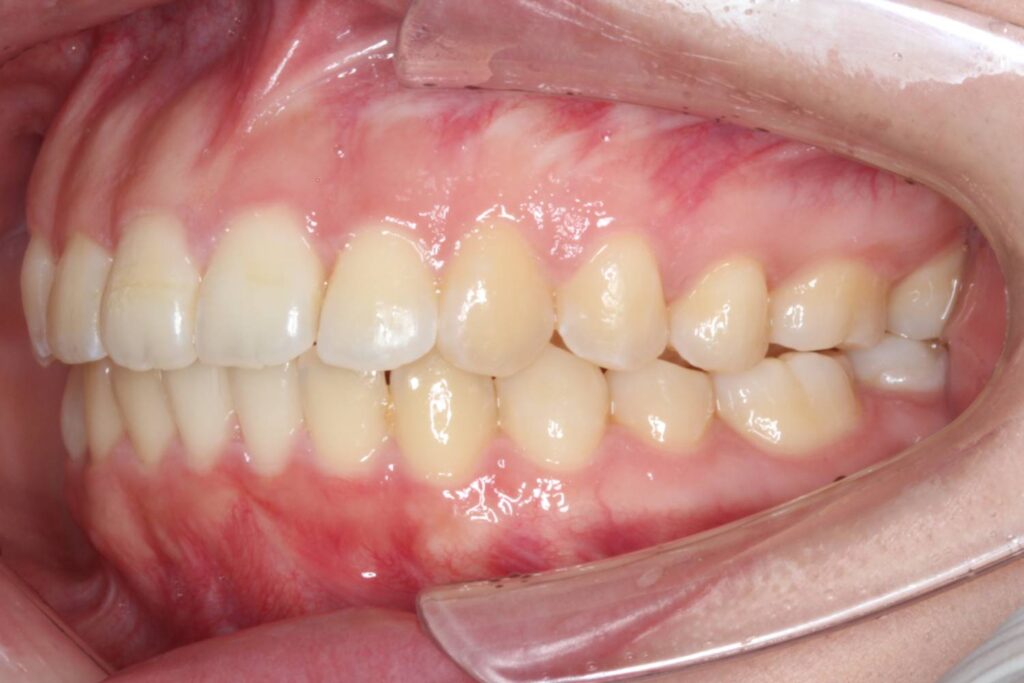
治療はインビザラインにて行い、治療期間は19ヶ月という大変短い期間で終了することができました。
Before




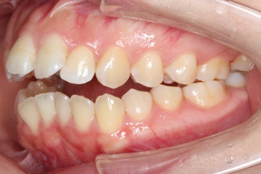
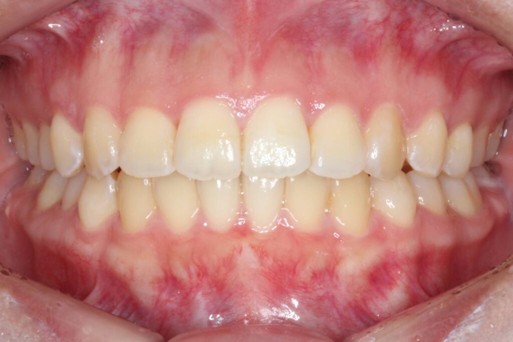
After




インビザラインは臼歯を「圧下」させることによって前歯を伸び出させずに開咬を治せるため、開咬に適した治療法であると言えます。
治療後は前歯もしっかりと噛み合うことで、機能的な歯並びを獲得することができました。
スマイルの印象も非常に良くなり、満足していただけました。
矯正治療をお考えの方は、ブライフ矯正歯科へご相談ください。
| 治療の概要
主訴:前歯でものが噛み切れない |
| 矯正歯科治療は公的健康保険適用外の自費(自由)診療です。 一般的な治療期間:2年から3年、一般的な通院回数:20回~30回 矯正歯科治療の一般的なリスクと副作用:・痛み ・口腔内不潔域の拡大と自浄作用の低下・歯根への影響(歯根の短小、歯の失活、歯肉退縮、歯根露出、失活歯の歯根破折)・顎関節症状・後戻り·加齢による変化・骨癒着 |
