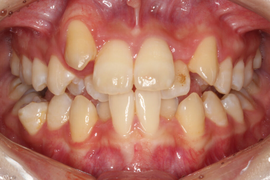
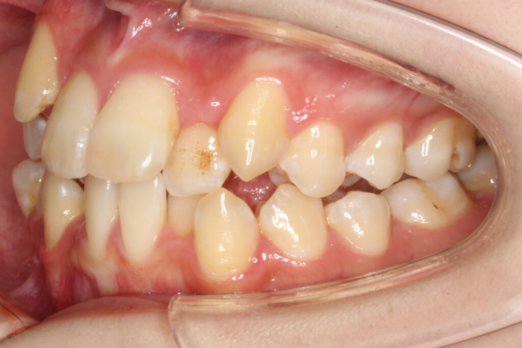
叢生(case 3)
前歯のでこぼこと八重歯を治したい(ワイヤー矯正)
当院での治療例紹介です。
前歯のでこぼこと、八重歯を治したいということで矯正治療を行いました。
上下顎の前歯にがたつきがあり、左右の2番目の歯は反対咬合になっています。
このように、重度の叢生(でこぼこ)の場合は歯磨きがしづらいことから歯周病のリスクが高く、
将来的に歯を失う可能性が高くなりますので矯正治療が推奨されます。
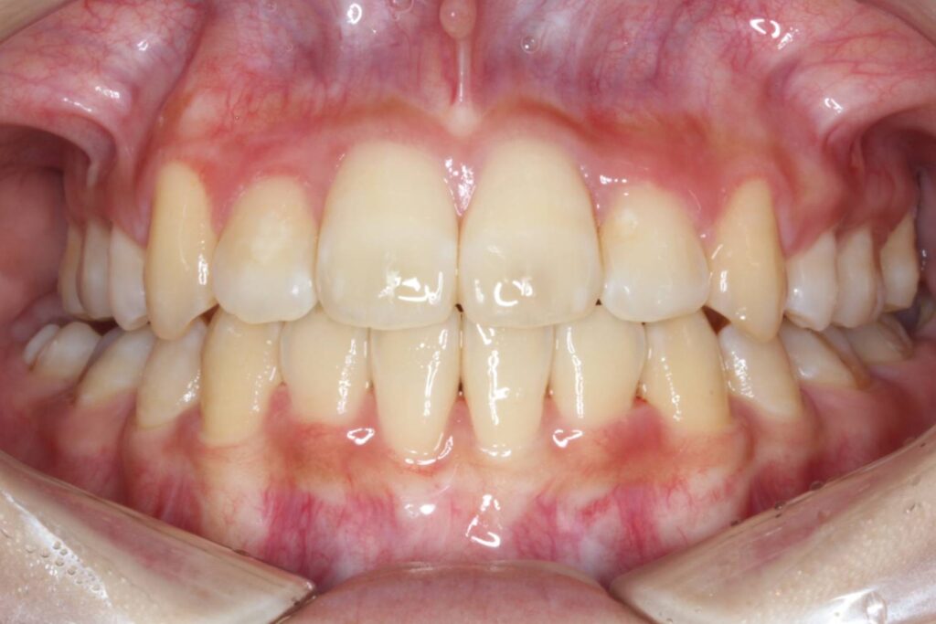
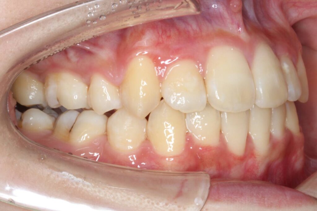
治療はワイヤー矯正(マルチブラケット装置)にて行い、
叢生に対するスペースを確保するため上顎両側4番、下顎両側5番を抜歯させていただきました。
また、アンカースクリューを上顎の両側に使用し、歯の移動を補助しています。
治療期間は2年6ヶ月でした。
Before




After




治療後は見た目と機能が両立した良好な歯並びとなり、満足していただけました。
また歯磨きなどの日常のケアがしやすくなり、生涯にわたってご自身の歯で過ごせることにもつながります。
矯正治療をお考えの方は、静岡市のブライフ矯正歯科へご相談ください。
| 治療の概要
主訴:前歯のでこぼこと、八重歯を治したい |
| 矯正歯科治療は公的健康保険適用外の自費(自由)診療です。 一般的な治療期間:2年から3年、一般的な通院回数:20回~30回 矯正歯科治療の一般的なリスクと副作用:・痛み ・口腔内不潔域の拡大と自浄作用の低下・歯根への影響(歯根の短小、歯の失活、歯肉退縮、歯根露出、失活歯の歯根破折)・顎関節症状・後戻り·加齢による変化・骨癒着 |
