叢生(case 7)
前歯のでこぼこと八重歯を治したい(ワイヤー矯正)
当院での治療例紹介です。
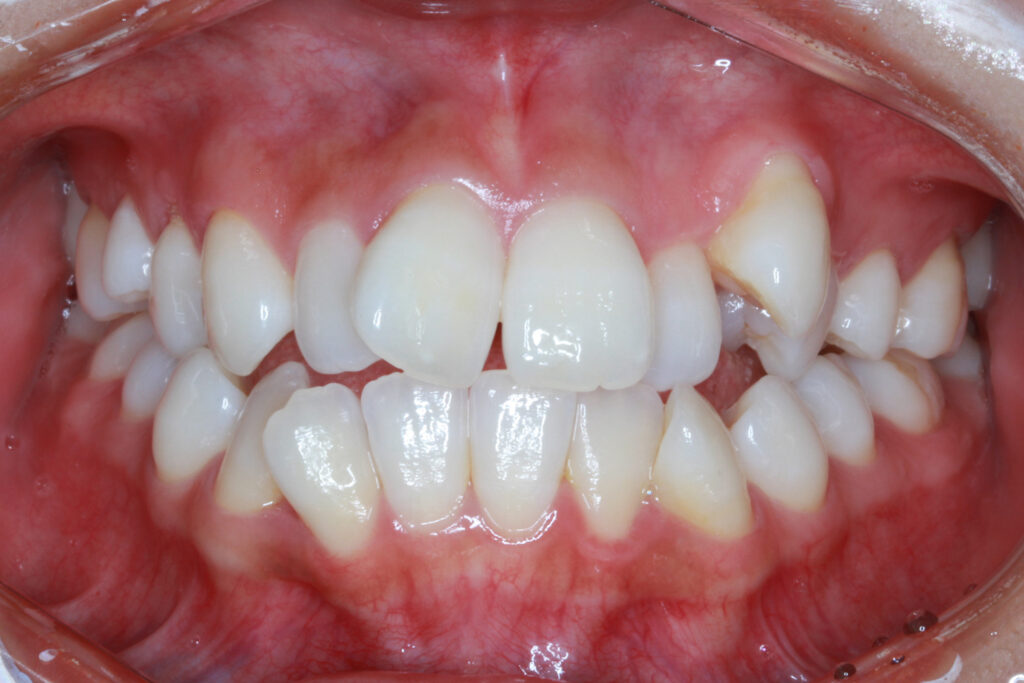
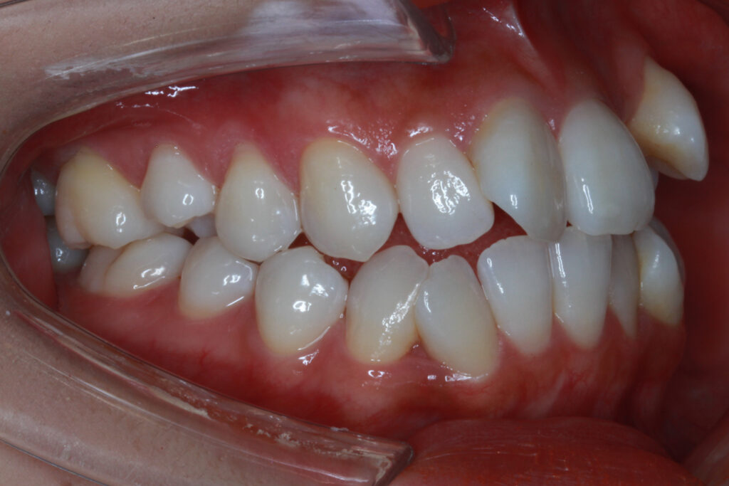
前歯のでこぼこと、八重歯を治したいということで矯正治療を行いました。
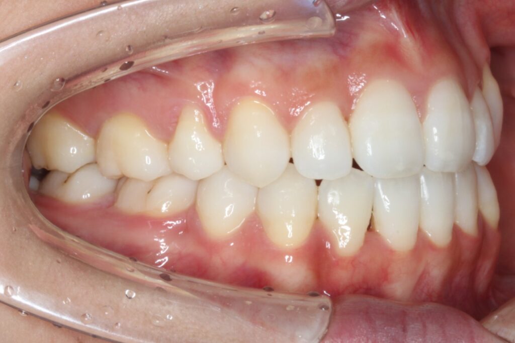
上下顎の前歯にがたつきがあり、左右の2番目の歯は反対咬合になっています。
左右ででこぼこの量が違うため、歯並びの中心が上下で一致していません。
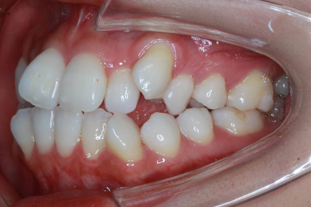
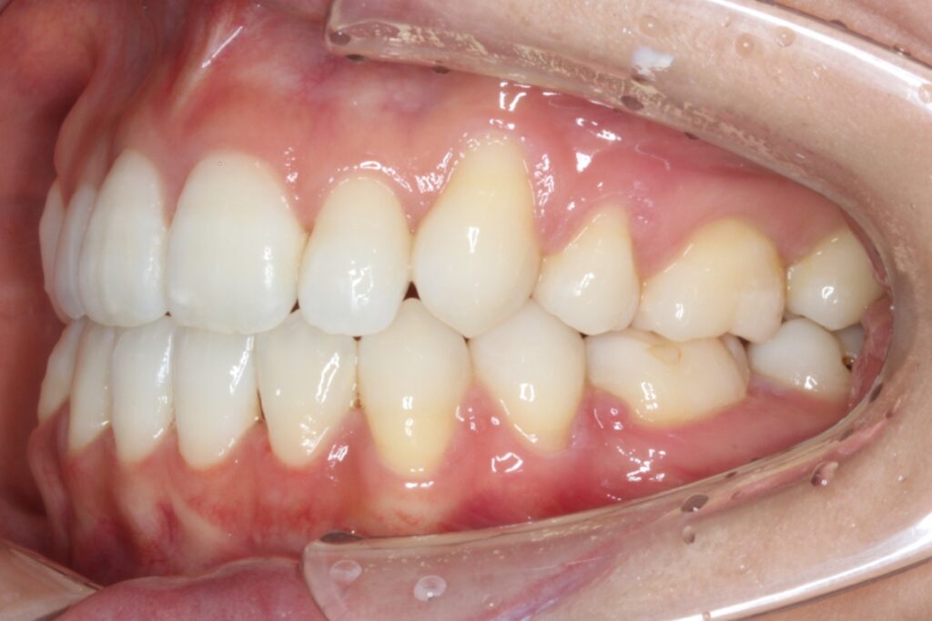
治療はワイヤー矯正(マルチブラケット装置)にて行い、
口元を突出させないようにするため上顎両側4番、下顎両側5番を抜歯させていただきました。
治療期間は22ヶ月でした。
Before





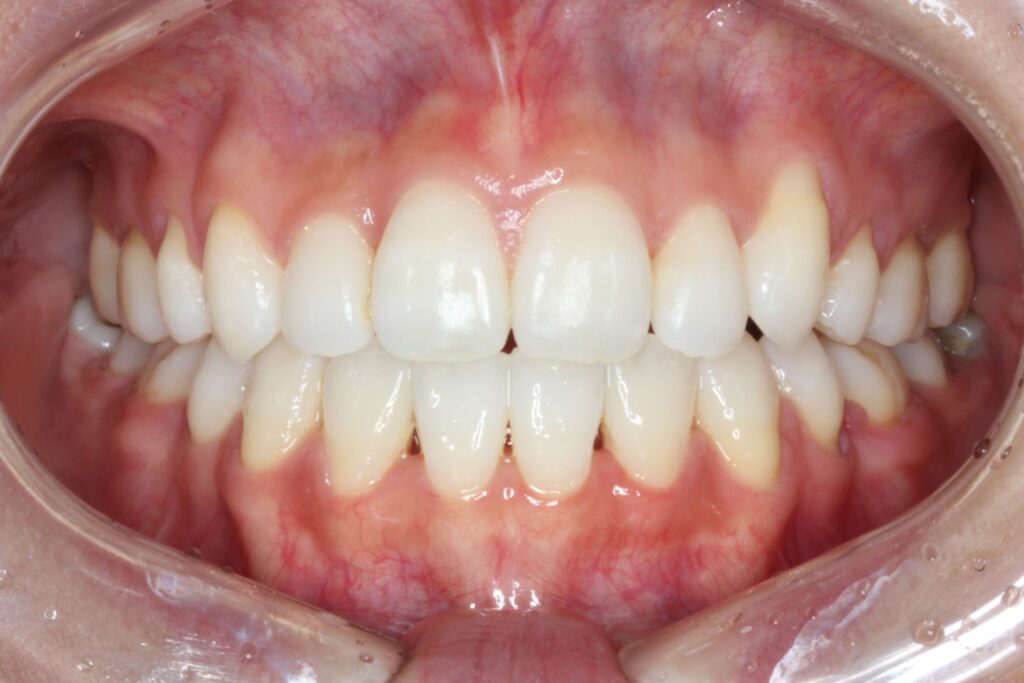
After





治療後は見た目と機能が両立した良好な歯並びとなり、満足していただけました。
矯正治療をお考えの方は、静岡市のブライフ矯正歯科へご相談ください。
| 治療の概要
主訴:前歯のでこぼこと、八重歯を治したい |
| 矯正歯科治療は公的健康保険適用外の自費(自由)診療です。 一般的な治療期間:2年から3年、一般的な通院回数:20回~30回 矯正歯科治療の一般的なリスクと副作用:・痛み ・口腔内不潔域の拡大と自浄作用の低下・歯根への影響(歯根の短小、歯の失活、歯肉退縮、歯根露出、失活歯の歯根破折)・顎関節症状・後戻り·加齢による変化・骨癒着 |
