ご予約は
こちらから

症例集

BRIFE矯正歯科 症例集

叢生(case 6)

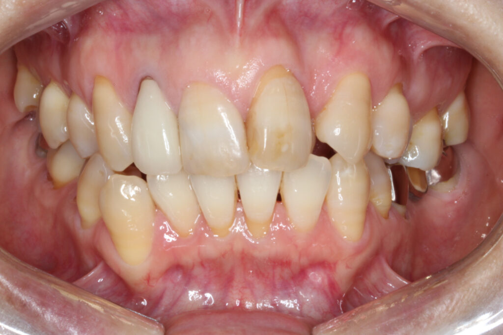
左上の前歯が内側に入ってしまっている(インビザライン)

当院での治療例紹介です。

左上の前歯が内側に入ってしまっているのが気になるということで矯正治療を行いました。

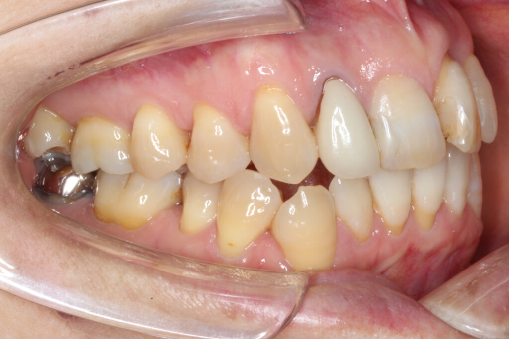
右上の2番目の前歯が完全に内側へ転位しており、1番目の前歯は大きく捻じれている状態です。

それに伴って上顎の歯並びの中心が左側へずれてしまっています。

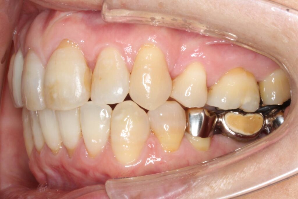
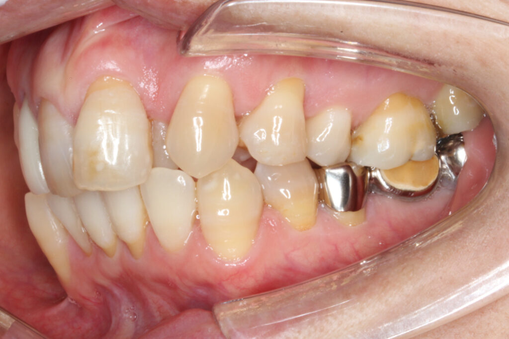
また、下顎の前歯にもがたつきがあり、左下奥歯はブリッジが入っている状態です。

ブリッジがあると歯が繋がってしまっているため移動させることが困難になりますが、今回はブリッジを壊さずになんとか治療を進めることとしました。

治療はインビザラインにて行い、スペース不足の著しい上顎左側のみ4番を抜歯し、

歯並びの中心を合わせるために、上顎右側は全体的に後方へ移動させる方針としました。

治療期間は19ヶ月という大変短い期間で終了することができました。

治療後は、上下顎の中心が一致し、でこぼこが解消されて前歯の印象が良くなりました。

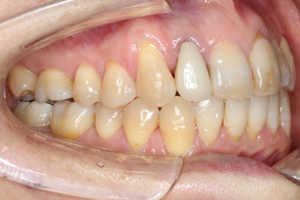
また、ブリッジの部分も無事に壊さずに、上顎の歯と問題なく噛み合っています。

矯正治療をお考えの方は、静岡市のブライフ矯正歯科へご相談ください。

Before

After

治療後は、上下顎の中心が一致し、でこぼこが解消されて前歯の印象が良くなりました。

また、ブリッジの部分も無事に壊さずに、上顎の歯と問題なく噛み合っています。

矯正治療をお考えの方は、静岡市のブライフ矯正歯科へご相談ください。

治療の概要

主訴:左上の前歯のが内側に入ってしまっている
診断名:叢生
年齢:51歳
治療に用いた主な装置:マウスピース型矯正装置(インビザライン)
抜歯部位:上顎左側4番  
期間:19ヶ月   
費用:総額¥1,005,000(税込¥1,105,500)    
リスク、副作用:歯磨きが不十分な場合には、虫歯や歯肉炎が進行することがあります。 矯正治療中顎の関節に音がする、痛くなる、口が開きにくくなる、といったような症状が出ることがあります。 体質により金属アレルギーを引き起こす事があります。治療後、知覚過敏や痛みなどが出たり、吸収された骨が再生しなくなることがあります。歯肉が退縮して歯が長く見えたり、歯と歯の隙間が広くなったりすることがあります。
(未承認医薬機器の使用について)
当院で使用しているマウスピース型矯正装置(インビザライン)は米国アライン・テクノロジー社の製品であり、インビザライン・ジャパン社を介して入手しております。
インビザラインは海外の工場で製作されるため、日本の医薬品医療機器等法(薬機法)の承認を受けていません。薬機法の対象外となるため、医薬品副作用被害者救済制度の対象とならない場合があります。日本国内にもマウスピース型矯正装置として薬機法の承認を受けている装置は存在します。
なお、インビザラインは1998年にFDA(米国食品医薬品局)により医療機器として認証を受けています。FDAは日本の厚生労働省に似た役割を持っている、食品や医薬品を取り締まる公的行政機関です。
マウスピース型矯正装置について、ご不明点がございましたらご相談ください。

 

矯正歯科治療は公的健康保険適用外の自費(自由)診療です。
一般的な治療期間:2年から3年、一般的な通院回数:20回~30回
矯正歯科治療の一般的なリスクと副作用:・痛み ・口腔内不潔域の拡大と自浄作用の低下・歯根への影響(歯根の短小、歯の失活、歯肉退縮、歯根露出、失活歯の歯根破折)・顎関節症状・後戻り·加齢による変化・骨癒着

 

ブライフ矯正歯科の料金表はこちら

関連記事

10月12日発売の「美人百花」11月号

最近の記事

  1. ガチャ歯の矯正治療法を解説!治療の流れ、期間・費用まで紹介

  2. 顎の梅干しジワは矯正治療で変わる?原因や改善しやすい歯並びを解説

  3. 抜歯矯正でありがちな後悔とは?判断の目安や知っておくべき対策を紹介

  4. 顎がないのは矯正治療で治る?改善しやすいケースと限界を解説

  5. 矯正治療の抜歯は痛い?いつまで続く?経過や和らげる方法を解説